Der Loro Parque hat bestätigt, dass er nach Einschätzung der Betreuer und Veterinäre des Parks, die Geburt von Morgan’s Nachwuchs unmittelbar nach dem Sommer erwartet. Morgan, die 2011 in den Zoo von Puerto de la Cruz kam, nachdem sie todgeweiht im Wadden-Meer vor der holländischen Küste gefunden wurde, befindet sich in der Endphase ihrer Trächtigkeit, die in der Geburt eines einzigen Jungtieres enden wird.
Diese Trächtigkeit, sowie die Geburt und Aufzucht des neuen Tieres, bedeutet für die Experten einen Meilenstein, bestätigt Dr. Javier Almunia, Direktor der Stiftung Loro Parque Fundación. „Alle Erfahrungen, die wir weltweit mit der Geburt von Orcas haben, beschränken sich auf rund 30 Geburten und noch niemals hat ein tauber Orca ein Kalb geboren“, bekräftigt er. „Für uns ist das eine völlig andere Situation. Wir haben bereits Orca-Geburten erlebt, aber in diesem Fall müssen wir noch sehr viel mehr auf alles, was passieren kann, vorbereitet sein. Denn die Informationen, über die wir verfügen, sind sehr gering“, ergänzt er noch.
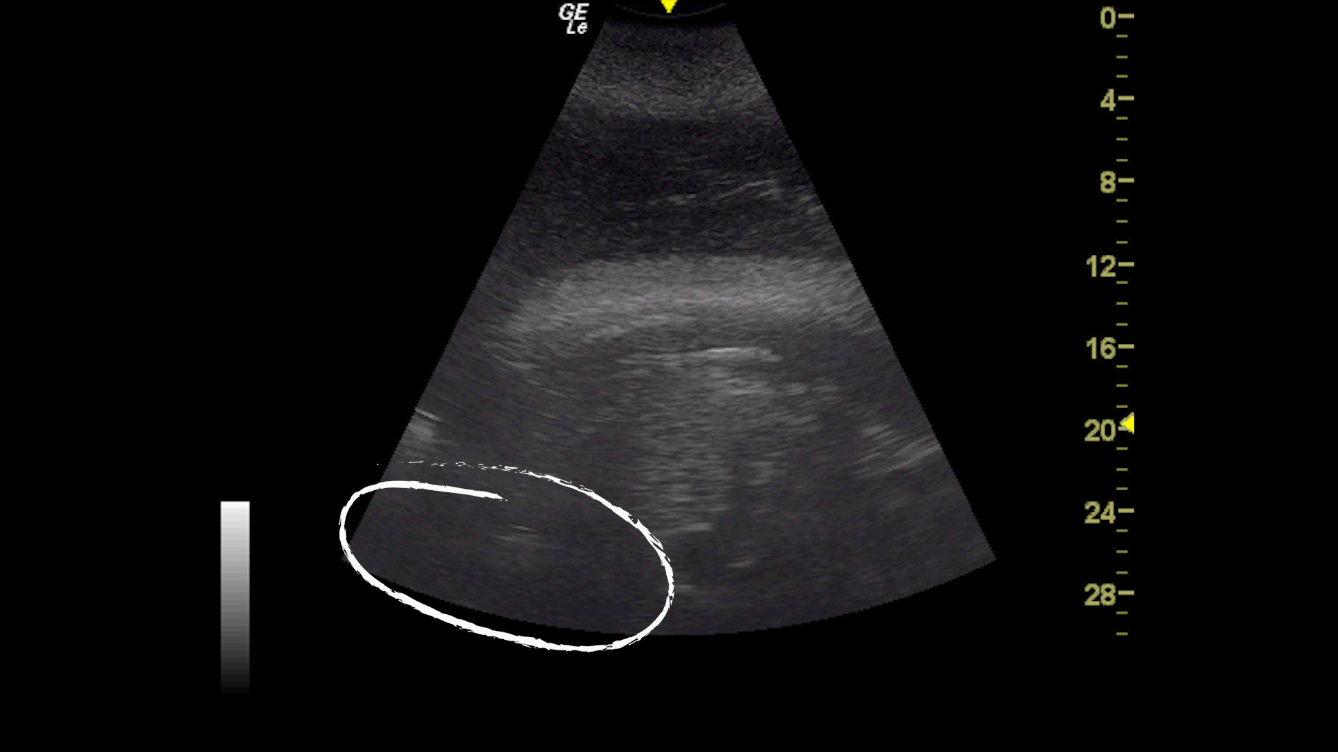
Die Pflege und die Routine des medizinischen Trainings der Orcas im Loro Parque wurde in den Schwangerschaftsmonaten intensiviert. Das hat zu einer lückenlosen Überwachung des Fötus und einer kontinuierlichen Kontrolle seiner Entwicklung geführt. „Wir führen praktisch zwei Mal pro Woche eine Ultraschalluntersuchung mit einem Hochfrequenzsystem durch, das keinerlei Auswirkungen auf den Fötus hat und keine Schmerzen verursacht“, erklärt Dr. Almunia.
Diese Ultraschalluntersuchungen haben es den Tierärzten erlaubt zu sehen, dass der Fötus sich in einer guten Position befindet, das Herz schlägt und alles, funktioniert, wie es sollte. Deshalb bereitet sich das Personal des Parks derzeit darauf vor, zu erfahren, wann der genaue Geburtszeitpunkt sein wird. „Und wir bereiten uns auch darauf vor, im Falle, dass etwas schief läuft, alles parat zu haben, um sofort intervenieren zu können“, hebt der Direktor der Stiftung hervor. Das ist deshalb besonders relevant, weil in der Natur 50% der Orca-Jungtiere vor dem Erreichen des ersten Lebensjahres sterben. Dazu kommt das Handicap, dass Morgan taub ist.
Da es das erste Mal ist, dass sich ein solcher Umstand unter menschlicher Obhut ergibt, sind sich die Experten nicht sicher, wie Morgan möglicherweise auf die Geburt ihres Jungen reagiert. Es könnte sein, dass sie nicht in der Lage ist, für ihr Kalb zu sorgen. Es ist deshalb wichtig eine muttermilchähnliche Formel zu finden, um das Tier zu ernähren und zu versuchen, Morgan‘s Muttermilch abzupumpen, um sicherzustellen, dass das Jungtier alle Antikörper erhält, die es braucht. Vor allem während des ersten Lebensjahres.
Das Expertenteam des Loro Parque hat in den letzten Monaten eine Vielzahl von Materialien für die Entwicklung der Schwangerschaft vorbereitet. So zum Beispiel eine Vorrichtung, die es erlaubt zu überprüfen, ob das Jungtier nach der Geburt korrekt atmet oder auf der richtigen Seite und in den optimalen Abständen gestillt wird, sodass die Trainer und Betreuer erkennen können, ob es notwendig ist, zu intervenieren.
Dank des Wissens und der Erfahrung des Expertenteams, hat der Loro Parque sich auf die Geburt des Nachwuchses von Morgan und auf verschiedene Szenarien, die nach der Geburt auftreten könnten, vorbereitet.



